Gingiwektomia - na czym polega i kiedy warto ją wykonać?

19.09.2025 - 4 min. czytania

Gingiwektomia to zabieg chirurgiczny, który polega na precyzyjnym wycięciu nadmiaru tkanki dziąsłowej. Wykonujemy go w określonych wskazaniach, aby poprawić zarówno estetykę uśmiechu, jak i zdrowie jamy ustnej.

Czym dokładnie jest gingiwektomia?

Gingiwektomia to procedura z zakresu periodontologii. Jej głównym celem jest usunięcie przerośniętego lub patologicznie zmienionego fragmentu dziąsła. Dzięki temu możemy wydłużyć korony kliniczne zębów, co sprawia, że uśmiech staje się bardziej proporcjonalny. Zabieg pozwala również na zredukowanie tzw. kieszonek dziąsłowych, które są problemem w chorobach przyzębia.

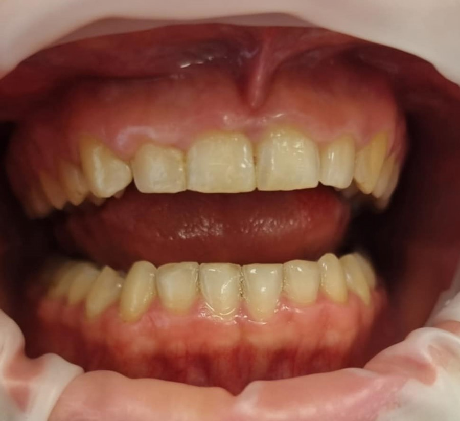
Przykład zabiegu gingiwektomi

Przed

Zabieg gingiwektomi przed

Po

Zabieg gingiwektomi po

Często gingiwektomię myli się z gingiwoplastyką. Choć oba zabiegi dotyczą dziąseł, ich cel jest nieco inny. Gingiwektomia to usunięcie nadmiaru tkanki, podczas gdy gingiwoplastyka skupia się na nadaniu dziąsłom odpowiedniego, fizjologicznego kształtu. W praktyce bardzo często wykonujemy oba te zabiegi jednocześnie, aby uzyskać jak najlepszy efekt funkcjonalny i estetyczny.

Kiedy wykonujemy zabieg gingiwektomii?

Decyzję o konieczności przeprowadzenia gingiwektomii zawsze podejmujemy po dokładnej diagnostyce. Istnieje kilka głównych wskazań do tego zabiegu.

  • Jednym z najczęstszych jest tzw. uśmiech dziąsłowy (gummy smile). Mówimy o nim, gdy podczas uśmiechu widoczna jest zbyt duża powierzchnia dziąseł w stosunku do zębów. Zęby wydają się wtedy nieproporcjonalnie krótkie. Usunięcie niewielkiego paska tkanki dziąsłowej pozwala odsłonić właściwą koronę zęba i przywrócić harmonię uśmiechu.
  • Kolejnym ważnym wskazaniem są choroby przyzębia, takie jak paradontoza. W przebiegu tych schorzeń dochodzi do powstawania głębokich kieszonek dziąsłowych. Są to przestrzenie między zębem a dziąsłem, w których gromadzą się resztki pokarmowe i bakterie, prowadząc do stanu zapalnego. Usunięcie części dziąsła spłyca te kieszonki, co ułatwia utrzymanie prawidłowej higieny i zatrzymuje postęp choroby.
  • Gingiwektomię przeprowadzamy również w przypadku przerostu dziąseł. Może być on spowodowany różnymi czynnikami, na przykład przyjmowaniem niektórych leków (m.in. na nadciśnienie czy padaczkę), zmianami hormonalnymi lub nieprawidłową higieną podczas leczenia ortodontycznego. Przerośnięte dziąsła utrudniają codzienne szczotkowanie i sprzyjają rozwojowi próchnicy.

    Zabieg bywa także niezbędnym etapem przygotowawczym do leczenia protetycznego. Aby prawidłowo osadzić koronę lub most, potrzebujemy odpowiedniej ilości widocznej tkanki zęba. Jeśli jest jej za mało, gingiwektomia pozwala ją odsłonić, zapewniając stabilne podparcie dla przyszłej odbudowy.

    Jak wygląda zabieg i czy jest bolesny?

    Przed przystąpieniem do zabiegu zawsze przeprowadzamy szczegółową konsultację i diagnostykę. Samą procedurę wykonujemy w znieczuleniu miejscowym, dzięki czemu jest ona dla Ciebie całkowicie bezbolesna.

    Lekarz periodontolog precyzyjnie odmierza i zaznacza obszar dziąsła, który zostanie usunięty. Następnie, przy użyciu skalpela, lasera lub noża elektrycznego, usuwa nadmiar tkanki. Wybór narzędzia zależy od konkretnego przypadku i warunków w jamie ustnej. Po zabiegu na ranę możemy założyć specjalny opatrunek chirurgiczny, który chroni ją i przyspiesza gojenie. Cała procedura trwa zazwyczaj od 30 do 60 minut.

    Zalecenia po zabiegu

    Okres rekonwalescencji jest kluczowy dla prawidłowego gojenia. Pełne wygojenie dziąseł zajmuje zwykle od kilku tygodni do kilku miesięcy. W pierwszych dniach po zabiegu możesz odczuwać niewielki dyskomfort lub ból, który łatwo złagodzisz ogólnodostępnymi środkami przeciwbólowymi.

    Aby wspomóc proces gojenia, pamiętaj o kilku zasadach:

    • Dieta - przez kilka pierwszych dni spożywaj miękkie, chłodne pokarmy. Unikaj gorących, twardych i pikantnych potraw, które mogłyby podrażnić gojące się miejsce.
    • Higiena - dbaj o higienę jamy ustnej ze szczególną ostrożnością. Omijaj okolicę zabiegową podczas szczotkowania. Stosuj płukanki antyseptyczne zalecone przez lekarza.
    • Unikaj używek - palenie papierosów i picie alkoholu znacząco spowalnia proces gojenia, dlatego należy z nich zrezygnować na co najmniej kilka dni.
    • Odpoczynek - unikaj intensywnego wysiłku fizycznego przez 2-3 dni po zabiegu.

    Pamiętaj, że profilaktyka i regularne wizyty kontrolne w gabinecie stomatologicznym to najlepszy sposób na unikanie problemów, które mogłyby prowadzić do konieczności leczenia chirurgicznego. Regularna higienizacja i codzienna dbałość o zęby i dziąsła pozwalają cieszyć się zdrowym uśmiechem przez długie lata.

keyboard_arrow_up
Natalia Wiertelorz

Natalia Wiertelorz

Recepcjonistka / Higienistka

W 2015 roku Pani Natalia ukończyła szkołę na kierunku asystentka stomatologiczna. Od grudnia 2015 roku pracowała w gabinecie stomatologicznym Evadent2 we Wrocławiu, gdzie została przygotowana do asysty w stomatologii zachowawczej, endodoncji mikroskopowej, chirurgii, implantologii i protetyce. We wrześniu 2017 roku podjęła naukę na kierunku higienistki stomatologicznej i w 2019 roku uzyskała dyplom. W 2018 roku podjęła pracę w Centrum Chirurgii i Estetyki Twarzy gdzie pracowała głównie w chirurgii i ortodoncji. Dzięki tej pracy zgłębiła swoją wiedze w fotografii stomatologicznej, a także pracy na skanerze wewnątrzustnym. Od kwietnia 2019 roku rozpoczęła pracę w Centrum Ortodontyczno-Stomatologicznym OrthoClinic, gdzie zajmuję się głównie pracą na recepcji, a także wykonuje zabiegi higienizacyjne.

Rysowana mapa pokazująca Orthoclinic

Zapraszamy również zmotoryzowanych

Niestety nie mamy miejsc postojowych bezpośrednio pod naszym gabinetem, które moglibyśmy udostępnić naszym pacjentom. Miejsca takie dostępne są na pobliskich osiedlach wokół bloków mieszkalnych, zarówno na ulicy Przyjaźni, Rodzinnej jak i Sąsiedzkiej. Można też parkować wzdłuż ulicy Krzyckiej.

Nie zwlekaj, zadbaj o siebie już dziś!

Troszczymy się zarówno o zdrowie, jak i piękny wygląd, a w rezultacie wspaniałe samopoczucie.
Potrzebujesz profesjonalnej pomocy? W OrthoClinic we Wrocławiu czeka na Ciebie szereg specjalistów - nie tylko z zakresu ortodoncji, ale też szeroko pojętej stomatologii. Nasz zespół odpowie na każde pytanie. Zadzwoń!

Poniedziałek – Piątek: 8.00 – 20.00

keyboard_arrow_up