Skaling zębów - na czym polega i dlaczego jest tak ważny?

17.10.2025 - 5 min. czytania

Skaling to zabieg profesjonalnego usuwania kamienia nazębnego, kluczowy dla zdrowia Twoich zębów i dziąseł. Jest to podstawowy element profilaktyki, który pozwala zapobiegać wielu poważnym chorobom w jamie ustnej.

Czym jest kamień nazębny i dlaczego powstaje?

Każdego dnia na powierzchni naszych zębów gromadzi się płytka nazębna. Jest to miękki, lepki osad składający się z resztek jedzenia, śliny i, przede wszystkim, bakterii. Jeśli nie usuniesz jej dokładnie i regularnie poprzez szczotkowanie i nitkowanie, zaczyna ona twardnieć. Dzieje się tak pod wpływem składników mineralnych zawartych w ślinie. Ten zmineralizowany, twardy osad to właśnie kamień nazębny.

Kamień najczęściej odkłada się w miejscach trudno dostępnych dla szczoteczki - przy linii dziąseł oraz w przestrzeniach międzyzębowych. Jego porowata struktura stanowi idealne środowisko dla dalszego rozwoju bakterii, które mogą prowadzić do poważnych problemów.

Na czym polega zabieg skalingu?

Skaling ma na celu dokładne usunięcie twardych złogów kamienia z powierzchni zębów. W naszym gabinecie stosujemy nowoczesne i skuteczne metody, aby zabieg był jak najbardziej komfortowy. Wyróżniamy dwa podstawowe rodzaje skalingu.

Skaling naddziąsłowy jest to najczęściej wykonywany typ zabiegu. Polega na usunięciu kamienia widocznego gołym okiem, czyli tego, który znajduje się powyżej linii dziąseł. Do tego celu używamy skalera ultradźwiękowego. Jego końcówka, wprawiana w drgania o wysokiej częstotliwości, skutecznie rozbija twarde złogi kamienia. Jednocześnie podawany jest strumień wody, który chłodzi ząb i wypłukuje usunięte fragmenty osadu.

Skaling poddziąsłowy ten rodzaj skalingu wykonujemy, gdy kamień nazębny zdołał nagromadzić się poniżej linii dziąseł, w tak zwanych kieszonkach dziąsłowych. Jest to sytuacja groźna dla zdrowia, ponieważ może prowadzić do rozwoju chorób przyzębia. Do usunięcia kamienia poddziąsłowego używamy specjalistycznych, precyzyjnych narzędzi ręcznych, zwanych kiretami, a także skalerów z odpowiednio przystosowanymi końcówkami. Pozwalają one dotrzeć głęboko i oczyścić powierzchnię korzenia zęba.

Czy skaling jest bolesny?

Dla większości pacjentów skaling naddziąsłowy jest zabiegiem bezbolesnym. Możesz odczuwać delikatne wibracje i łaskotanie. Dyskomfort może pojawić się w przypadku dużej nadwrażliwości zębów lub gdy dziąsła są w stanie zapalnym. Skaling poddziąsłowy bywa bardziej odczuwalny, dlatego w razie potrzeby stosujemy znieczulenie miejscowe, aby zapewnić Ci pełen komfort.

Podsumowując - skaling wykonywany rutynowo i profilaktycznie, czyli naddziąsłowy, jest zasadniczo zabiegiem bezbolesnym.

Jak często należy wykonywać skaling?

Częstotliwość wykonywania skalingu zależy od Twoich indywidualnych predyspozycji. U niektórych osób kamień nazębny odkłada się szybciej - ma na to wpływ dieta (czarna/zielona herbata, kawa), nawyki higieniczne, palenie papierosów czy skład śliny. Zazwyczaj zalecamy, aby profesjonalne czyszczenie zębów, którego skaling jest częścią, przeprowadzać co 6-12 miesięcy. Regularne wizyty kontrolne pozwalają nam ocenić stan Twojej jamy ustnej i zaplanować zabieg w odpowiednim momencie.

Czytaj również: Kiedy i jak często należy wykonać higienizację?

Skaling to dopiero początek - pełna higienizacja

Warto pamiętać, że skaling jest zazwyczaj pierwszym etapem pełnego, profesjonalnego zabiegu higienizacji jamy ustnej. Wykonuje się również:

  • Piaskowanie - polega na usunięciu osadów i przebarwień (np. po kawie, herbacie) za pomocą strumienia wody z drobnym proszkiem czyszczącym.
  • Polerowanie - wygładzamy powierzchnię zębów specjalną pastą, co utrudnia ponowne osadzanie się płytki nazębnej.
  • Fluoryzację - na koniec nakładamy na zęby preparat z wysokim stężeniem fluoru, który wzmacnia szkliwo i chroni je przed próchnicą.

Dlaczego regularne usuwanie kamienia jest tak ważne?

Regularne poddawanie się zabiegowi skalingu to jedna z najlepszych inwestycji w zdrowie. Pozwala on:

  • Zapobiegać zapaleniu dziąseł - bakterie w kamieniu nazębnym powodują stan zapalny, objawiający się krwawieniem, obrzękiem i zaczerwienieniem dziąseł.
  • Chronić przed chorobami przyzębia - nieleczone zapalenie dziąseł może przekształcić się w chorobę, która prowadzi do uszkodzenia kości i w konsekwencji do utraty zębów.
  • Zmniejszyć ryzyko próchnicy - kamień utrudnia dokładne mycie zębów, a zgromadzone w nim bakterie produkują kwasy niszczące szkliwo.
  • Zapewnić świeży oddech - nagromadzone złogi bakteryjne są częstą przyczyną nieprzyjemnego zapachu z ust.
  • Poprawić estetykę uśmiechu - usunięcie ciemnych złogów kamienia sprawia, że zęby wyglądają na jaśniejsze i zdrowsze.

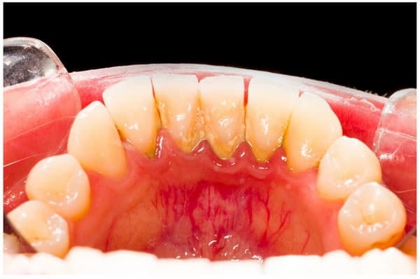
Zęby przed skalingiem Przed skalingiem

Zęby po skalinguPo wykonaniu skalingu

Pamiętaj, że nawet najdokładniejsze codzienne szczotkowanie nie jest w stanie usunąć kamienia nazębnego, gdy ten już się uformuje. Profesjonalny zabieg w gabinecie stomatologicznym pozwala usunąć kamień już wytworzony.

Dbaj o swój uśmiech z nami - umów się na wizytę higienizacyjną w Orthoclinic i ciesz się zdrowiem na długie lata.

keyboard_arrow_up
Natalia Wiertelorz

Natalia Wiertelorz

Recepcjonistka / Higienistka

W 2015 roku Pani Natalia ukończyła szkołę na kierunku asystentka stomatologiczna. Od grudnia 2015 roku pracowała w gabinecie stomatologicznym Evadent2 we Wrocławiu, gdzie została przygotowana do asysty w stomatologii zachowawczej, endodoncji mikroskopowej, chirurgii, implantologii i protetyce. We wrześniu 2017 roku podjęła naukę na kierunku higienistki stomatologicznej i w 2019 roku uzyskała dyplom. W 2018 roku podjęła pracę w Centrum Chirurgii i Estetyki Twarzy gdzie pracowała głównie w chirurgii i ortodoncji. Dzięki tej pracy zgłębiła swoją wiedze w fotografii stomatologicznej, a także pracy na skanerze wewnątrzustnym. Od kwietnia 2019 roku rozpoczęła pracę w Centrum Ortodontyczno-Stomatologicznym OrthoClinic, gdzie zajmuję się głównie pracą na recepcji, a także wykonuje zabiegi higienizacyjne.

Rysowana mapa pokazująca Orthoclinic

Zapraszamy również zmotoryzowanych

Niestety nie mamy miejsc postojowych bezpośrednio pod naszym gabinetem, które moglibyśmy udostępnić naszym pacjentom. Miejsca takie dostępne są na pobliskich osiedlach wokół bloków mieszkalnych, zarówno na ulicy Przyjaźni, Rodzinnej jak i Sąsiedzkiej. Można też parkować wzdłuż ulicy Krzyckiej.

Nie zwlekaj, zadbaj o siebie już dziś!

Troszczymy się zarówno o zdrowie, jak i piękny wygląd, a w rezultacie wspaniałe samopoczucie.
Potrzebujesz profesjonalnej pomocy? W OrthoClinic we Wrocławiu czeka na Ciebie szereg specjalistów - nie tylko z zakresu ortodoncji, ale też szeroko pojętej stomatologii. Nasz zespół odpowie na każde pytanie. Zadzwoń!

Poniedziałek – Piątek: 8.00 – 20.00

keyboard_arrow_up