Tomografia komputerowa zęba – kiedy jest wymagana?

19.02.2022 - 3 min. czytania

Istnieje wiele badań z obszaru diagnostyki. Dzięki ich wynikom możliwe jest odpowiednio wczesne wykrycie wszelkich nieprawidłowości. Wśród nich jest tomografia komputerowa zębów. Umożliwia ona zobaczenie wewnętrznych struktur kości szczęki i żuchwy. Kiedy warto wykonać tomografię komputerową zęba, a kiedy jest ona nawet konieczna?

Co to jest tomografia komputerowa zęba?

Tomografia komputerowa umożliwia uzyskanie niezwykle szczegółowego obrazu przekrojowego badanego obiektu. W stomatologii stosuje się jedną z odmian tomografii komputerowej – tomografię wiązki stożkowej. W standardowej tomografii wiązka jest w kształcie wachlarza, z kolei głowica obraca się wiele razy. W przypadku tomografii wiązki stożkowej skan wykonuje się tylko jednym ruchem. Jak sama nazwa wskazuje, wiązka ma kształt stożka. Ma to wiele zalet – mniejsza jest dawka promieni RTG, badanie jest czytelniejsze, a czas jego trwania wyraźnie krótszy. Bardzo ważne jest, że tomografia komputerowa pozwala na wykrycie wielu nieprawidłowości jeszcze w ich początkowym stadium. Czasem zmiany są niedostrzegalne ze względu na brak objawów w pierwszej fazie schorzenia. To właśnie wtedy jest największa szansa na szybkie wyleczenie.

Wskazania do badania

Lekarz zleca tomografię komputerową zębów w wielu przypadkach. Wykonuje się ją w celu oceny stanu uzębienia i całej szczęki. Sprawdza się również przy diagnozie nieprawidłowości w obszarze pracy stawu skroniowo-żuchwowego. Tomografia pozwala też na wykrycie guzów szczęki, a także dostarcza informacji, jakiego są one rozmiaru. Badanie ma też swoje zastosowanie w lokalizowaniu źródła bólu, co przekłada się na bardziej precyzyjne i lepiej dopasowane leczenie. Tomografia wiązki stożkowej jest na dużą skalę stosowana w implantologii i chirurgii. Odgrywa ważną rolę na etapie planowania zabiegu. Dzięki niej łatwiej jest ocenić ryzyko, a także lepiej skontrolować postępy pooperacyjne. Tomografia pozwala także właściwie dopasować implant pod względem kształtu, wielkości i położenia.

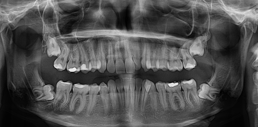
Co pokazuje wynik tomografii komputerowej zęba?

Obecnie dzięki bardzo prężnemu rozwojowi technologii możemy skorzystać z niezwykle dokładnego badania tomografem. Komputerowe tomografy stożkowe pokazują obraz 3D. W trakcie tylko jednego obrotu lampy wykonywanych jest od 300 do 600 zdjęć. Trójwymiarowy obraz jest przetwarzany na bardzo wiele sposobów. Wszystko to ma na celu jeszcze lepsze zaprezentowanie badanych struktur wewnętrznych i ułatwienie leczenia nieprawidłowości. Tomografia komputerowa zębów umożliwia wykrycie m.in. próchnicy jeszcze na bardzo wczesnym jej etapie. Na obrazie widoczne są również torbiele i zmiany nowotworowe. Tomografia komputerowa wykaże również obniżenie brzegu kostnego, ubytki kostne, rozrosty nienowotworowe, a także zęby zatrzymane. Tomografia komputerowa znalazła swoje zastosowanie również w ortodoncji. Dzięki niej można łatwo oszacować, ile jest zawiązków zębów w okresie rozwojowym małego pacjenta. To w znaczącym stopniu pomaga w dobrym zaplanowaniu leczenia.

Koszt tomografii komputerowej zębów

Badanie to koszt w wysokości kilkuset złotych. Cena jest uzależniona od obszaru, jaki jest poddawany badaniu. Najmniej zapłacimy za częściową tomografię komputerową zębów. Nieco droższe jest badanie szczęki lub żuchwy. Najdroższe będzie badanie obu tych struktur – szczęki i żuchwy. Tomografia komputerowa zębów pomaga zarówno w wykrywaniu nieprawidłowości, jak i w planowaniu leczenia dzięki szczegółowemu obrazowi wewnętrznych struktur. Nie zawsze jest zlecana ze względu na niepokojące objawy. Czasem ma tylko na celu lepsze poznanie uzębienia pacjenta.

keyboard_arrow_up
Natalia Wiertelorz

Natalia Wiertelorz

Recepcjonistka / Higienistka

W 2015 roku Pani Natalia ukończyła szkołę na kierunku asystentka stomatologiczna. Od grudnia 2015 roku pracowała w gabinecie stomatologicznym Evadent2 we Wrocławiu, gdzie została przygotowana do asysty w stomatologii zachowawczej, endodoncji mikroskopowej, chirurgii, implantologii i protetyce. We wrześniu 2017 roku podjęła naukę na kierunku higienistki stomatologicznej i w 2019 roku uzyskała dyplom. W 2018 roku podjęła pracę w Centrum Chirurgii i Estetyki Twarzy gdzie pracowała głównie w chirurgii i ortodoncji. Dzięki tej pracy zgłębiła swoją wiedze w fotografii stomatologicznej, a także pracy na skanerze wewnątrzustnym. Od kwietnia 2019 roku rozpoczęła pracę w Centrum Ortodontyczno-Stomatologicznym OrthoClinic, gdzie zajmuję się głównie pracą na recepcji, a także wykonuje zabiegi higienizacyjne.

Rysowana mapa pokazująca Orthoclinic

Zapraszamy również zmotoryzowanych

Niestety nie mamy miejsc postojowych bezpośrednio pod naszym gabinetem, które moglibyśmy udostępnić naszym pacjentom. Miejsca takie dostępne są na pobliskich osiedlach wokół bloków mieszkalnych, zarówno na ulicy Przyjaźni, Rodzinnej jak i Sąsiedzkiej. Można też parkować wzdłuż ulicy Krzyckiej.

Nie zwlekaj, zadbaj o siebie już dziś!

Troszczymy się zarówno o zdrowie, jak i piękny wygląd, a w rezultacie wspaniałe samopoczucie.
Potrzebujesz profesjonalnej pomocy? W OrthoClinic we Wrocławiu czeka na Ciebie szereg specjalistów - nie tylko z zakresu ortodoncji, ale też szeroko pojętej stomatologii. Nasz zespół odpowie na każde pytanie. Zadzwoń!

Poniedziałek – Piątek: 8.00 – 20.00

keyboard_arrow_up